Collage
d'un angle fracturéLorsqu'il se produit une fracture nette dune dent
antérieure, si vous pouvez récupérer la partie fracturée, il est
possible
de " recoller les morceaux ".

|

|
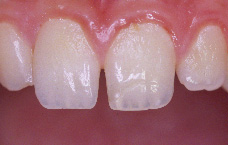
Etat initial. |

|

|
Traitement des surfaces à coller. |

|

|
Le
résultat esthétique final sévalue au moins 24 heures après le collage afin de
permettre à la partie fracturée de se réhydrater. |
Deux ans après le collage, le "morceau de dent est toujours collé,
la couleur est redevenue normale et la dent est toujours vivante. |
La dent devra être
surveillée régulièrement sur une période de deux ans, notamment pour vérifier sa
vitalité.
Si
la partie fracturée nest pas récupérable, ne vous inquiétez pas, les nouveaux matériaux dentaires de restauration présentent un aspect esthétique aussi vrai que
nature, voici deux exemples:
 |
 |
| Reconstitution à l'aide d'un composite de l'incisive supérieure
gauche. |
|
 |
 |
| Reconstitution à l'aide d'un composite des angles des 2 incisives
supérieures. |
|